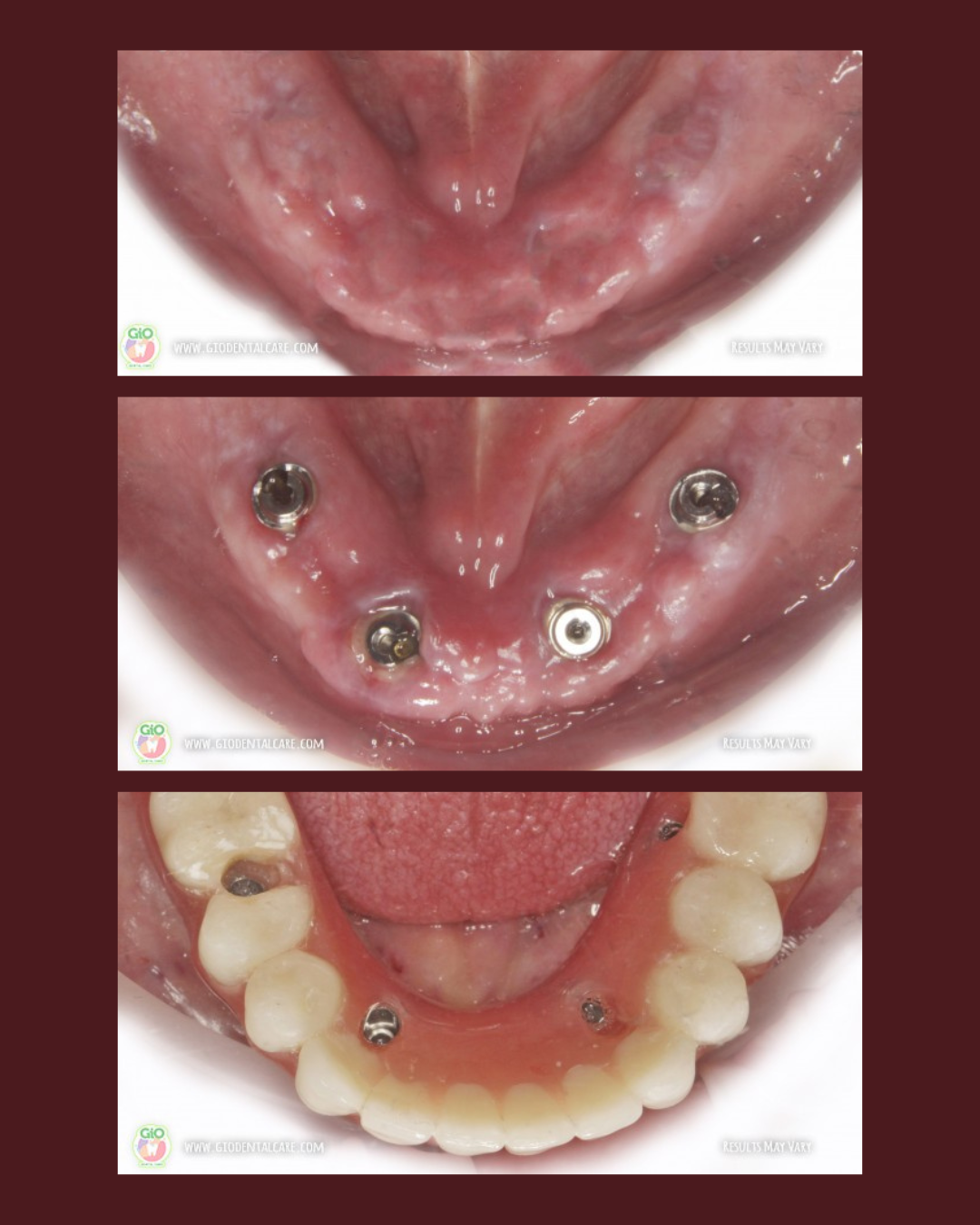
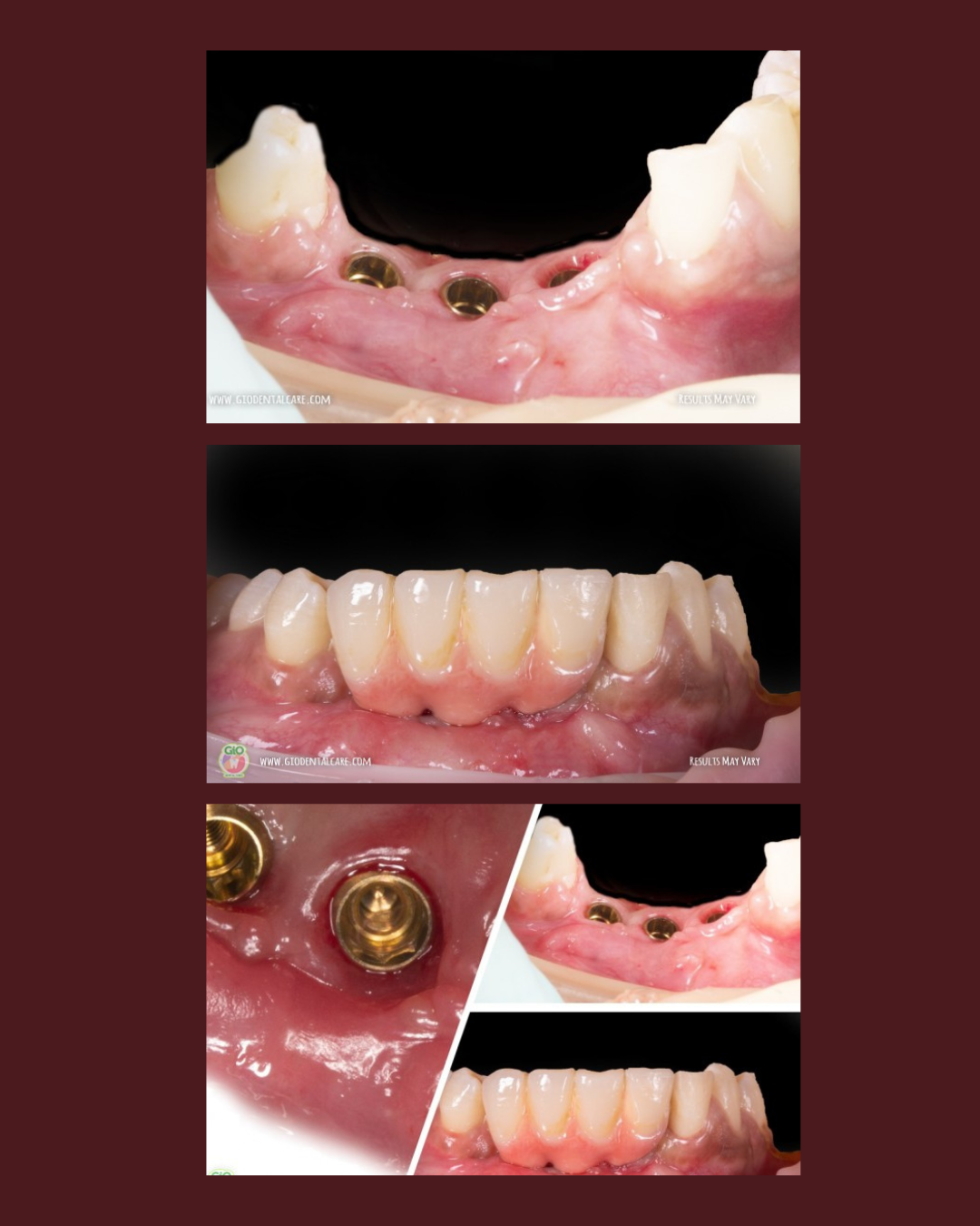
GiO Smile Makeover adalah perawatan untuk mengembalikan fungsi dan estetika gigi dengan Implan Gigi dan Ceramic Crown & Bridge. Implan menggantikan gigi yang hilang secara permanen, sementara ceramic crown melindungi gigi yang rusak agar kuat dan tampak alami.
Layanan Terkait
Admin GIO Dental siap membantu memilihkan atau menjelaskan semua keluhan dan masalah gigimu.
Konsultasi Sekarang
Kami hadir di lokasi strategis untuk memastikan akses mudah ke perawatan gigi terbaik. Temukan cabang klinik kami terdekat dan nikmati layanan profesional untuk senyum sehat Anda.
Simak pengalaman nyata pasien kami yang telah merasakan perawatan terbaik dan hasil senyum yang memuaskan.
