Gigi implan adalah solusi pengganti gigi permanen yang dirancang untuk menggantikan gigi yang hilang secara fungsional maupun estetika.
Berbeda dengan gigi tiruan lepasan, implan gigi ditanam langsung ke tulang rahang sehingga berfungsi layaknya akar gigi asli.
Struktur implan terdiri dari tiga bagian utama: fixture (sekrup titanium yang ditanam di tulang), abutment (penghubung), dan crown (mahkota gigi yang terlihat di permukaan).
Teknologi implan modern memungkinkan prosedur ini menjadi sangat stabil, aman, dan memberikan hasil yang natural.
Setelah proses penyatuan tulang, implan dapat berfungsi hampir sama seperti gigi asli, baik untuk menggigit, mengunyah, maupun berbicara.
Prosedur pasang implan gigi di GiO Dental Care Bali dirancang agar aman, terukur, dan memberikan hasil yang optimal.
Setiap tahap dilakukan oleh dokter spesialis berpengalaman, sehingga pasien dapat menjalani perawatan dengan rasa tenang dan pemahaman yang jelas mengenai progresnya.
Berikut tahapan utama pemasangan implan gigi di GiO Bali:
Pada kunjungan pertama, dokter spesialis akan melakukan evaluasi kondisi mulut dan tulang rahang secara menyeluruh.
Pemeriksaan meliputi foto rontgen untuk memastikan struktur tulang cukup kuat sebagai penyangga implan.
Di tahap ini, dokter juga memberikan rujukan untuk pemeriksaan kesehatan secara umum serta menjelaskan rencana perawatan dan estimasi waktu penyembuhan.
Tahap inti dari pemasangan implan gigi adalah penanaman fixture, sekrup titanium yang berfungsi sebagai akar gigi buatan.
Prosedur dilakukan dengan bius lokal sehingga minim rasa sakit.
Setelah implan ditanam, dibutuhkan waktu 2–4 bulan hingga implan menyatu kuat dengan tulang rahang.
Selama masa penyembuhan, pasien tetap dapat beraktivitas normal dengan panduan perawatan yang telah diberikan dokter.
Setelah implan stabil, dokter melanjutkan dengan pemasangan abutment dan crown. Crown dibuat khusus untuk menyerupai warna, bentuk, dan ukuran gigi alami pasien.
Pada tahap ini, gigi baru sudah dapat berfungsi seperti gigi asli, baik untuk mengunyah maupun berbicara.
Pasien dijadwalkan kontrol berkala untuk memastikan kondisi implan tetap optimal.
Dengan alur perawatan yang jelas dan dikerjakan oleh tenaga spesialis, proses pasang implan gigi di GiO Bali menjadi pengalaman yang aman, nyaman, dan memberikan hasil yang tahan lama.
Memilih tempat yang tepat untuk pasang implan gigi adalah keputusan penting, terutama bagi pasien usia yang mengutamakan keamanan, ketahanan jangka panjang, dan hasil yang terlihat natural.
GiO Dental Care Bali, baik cabang Denpasar maupun Kuta, menghadirkan layanan gigi implan yang ditangani oleh dokter spesialis dan didukung fasilitas modern, sehingga setiap pasien mendapatkan kualitas terbaik di setiap tahap perawatan.
Seluruh prosedur implan dilakukan oleh dokter spesialis bedah mulut dan prostodonsia yang telah menangani berbagai kasus, termasuk kasus kompleks.
Pendekatan berbasis analisis dan pengalaman klinis memastikan hasil yang presisi dan aman.
GiO Dental Care menggunakan CT Scan 3D meningkatkan akurasi dan meminimalkan risiko selama prosedur.
Teknologi ini memungkinkan dokter menempatkan implan dengan presisi tinggi.
Crown implan dibuat secara custom mengikuti bentuk dan warna gigi pasien sehingga tampilannya menyatu dengan gigi alami.
Secara fungsi, gigi implan bekerja hampir sama dengan gigi asli, kokoh saat mengunyah dan nyaman untuk aktivitas sehari-hari.
Ini menjadi salah satu alasan banyak pasien memilih implan sebagai solusi permanen.
Setiap tindakan dilakukan di ruang perawatan khusus dengan standar sterilisasi ketat. Hal ini memberikan rasa aman bagi pasien, terutama untuk prosedur bedah minor seperti pemasangan implan.
Kedua cabang GiO Bali berada di kawasan mudah dijangkau oleh warga lokal maupun pasien ekspatriat. Akses yang nyaman membuat proses kontrol berkala menjadi lebih praktis.
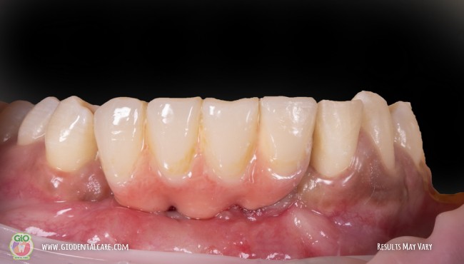
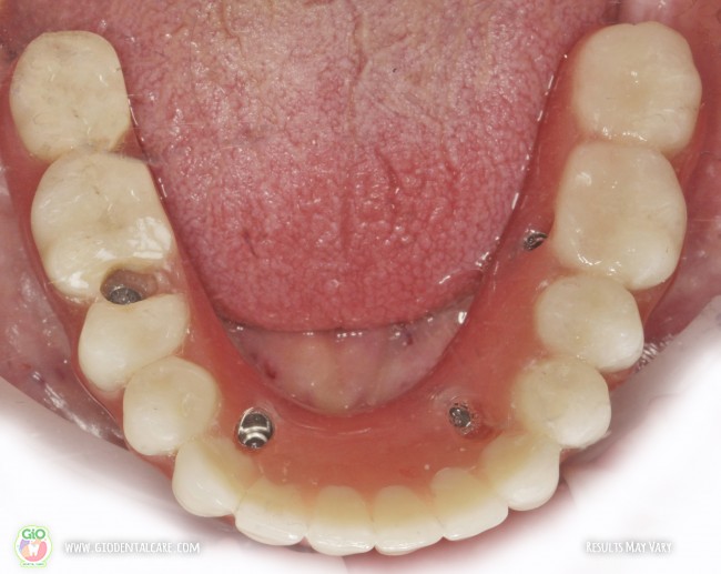
Untuk membantu pasien memahami hasil perawatan secara lebih nyata, GiO Dental Care Bali menyediakan dokumentasi Before–After dari berbagai kasus gigi implan yang telah ditangani oleh dokter spesialis.
Foto-foto ini menunjukkan perubahan signifikan mulai dari kondisi gigi sebelum tindakan, proses pemulihan, hingga hasil akhir setelah crown terpasang dengan sempurna.






Di GiO Dental Care Bali, baik cabang Denpasar maupun Kuta, testimoni pasien menjadi bukti penting bahwa layanan gigi implan ditangani secara profesional dan memberikan hasil yang konsisten.

.png)
.png)
Jika Anda sedang mempertimbangkan pasang implan gigi dan ingin mengetahui apakah prosedur ini sesuai dengan kebutuhan Anda, tim GiO Dental Care Bali siap membantu.
Melalui WhatsApp, Anda dapat berkonsultasi langsung mengenai kondisi gigi, estimasi biaya, hingga jadwal ketersediaan dokter spesialis di Denpasar atau Kuta.
Klik tombol WhatsApp berikut untuk menghubungi tim GiO Bali 👉 WhatsApp sekarang
Langkah pertama menuju senyum baru yang lebih sehat dan fungsional dapat dimulai hari ini.
Blog Terbaru
Panduan Lengkap Veneer Gigi: Manfaat, Jenis, Prosedur, dan Perawatannya
Friday, 13 March 2026 - 13:48:21
Cabut Gigi di Jogja: Hal yang Perlu Anda Ketahui Sebelum ke Dokter Gigi
Wednesday, 11 March 2026 - 15:07:26
Panduan Lengkap Cabut Gigi: Kapan Harus Dilakukan, Prosesnya, dan Cara Perawatannya
Monday, 09 March 2026 - 14:26:17
Sebelum Pasang Implan Gigi di Kuta, Simak Review Pasien GiO Dental Care Ini
Friday, 06 March 2026 - 15:41:13
Proses Implan Gigi untuk Gigi Hilang: Solusi Permanen di GiO Dental Kuta
Thursday, 05 March 2026 - 13:19:20
Konsultasikan dengan
Ahli Kami yang Terpercaya
Admin GIO Dental siap membantu memilihkan atau menjelaskan semua keluhan dan masalah gigimu.
Kami hadir di lokasi strategis untuk memastikan akses mudah ke perawatan gigi terbaik. Temukan cabang klinik kami terdekat dan nikmati layanan profesional untuk senyum sehat Anda.